
细胞凋亡是机体发育的正常过程,当出现紊乱后可能导致肿瘤的发生。Caspase(半胱氨酸-天冬氨酸蛋白酶)通过内源性和外源性途径导致细胞凋亡,其中CASP3(Caspase3)是最重要的凋亡调控因子。小编本期推荐的明星抗体K107625P,可是侦察CASP3蛋白的得力干将,让我们一起来认识下吧!
明星抗体三维数据卡
名称 |
Anti-CASP3 Polyclonal Antibody |
编号 |
|
交叉 反应 |
Human Mouse Rat |
应用 |
WB IHC IF |
推荐稀释 比例 |
WB 1:1000-3000 IHC 1:50-200 IF 1:50-200 |
抗体靶标
CASP3基因位于人类4号染色体(4q35.1)长臂,是caspase家族的成员。CASP3是蛋白水解凋亡级联中的下游效应蛋白酶,在细胞凋亡机制中起着关键作用。在胞内其以32kDa无活性前体表达,裂解为17kDa和12kDa蛋白水解亚基,形成成熟caspase。CASP3被启动子caspase激活后可进一步激活聚腺苷二磷酸核糖聚合酶(PARPs)、内切酶和其他底物,导致细胞凋亡,如染色质凝结、DNA碎片或凋亡小体的形成等。
蛋白分子量
CASP3蛋白质的标准序列277个氨基酸,理论分子量约32kDa。CASP3存在多种蛋白形式,包括约32kDa的CASP3前体,约17kDa以及12kDa的剪切体。

图1 K107625P-Western blot验证
亚细胞定位
CASP3蛋白在细胞质中表达,细胞接受到刺激时会易位到细胞核。

图2 CASP3的亚细胞定位示意图
(From UniProt)

图3 K107625P-Immunofluorescence验证
组织分布
CASP3在肺、脾、心、肝、肾和免疫系统细胞中高表达,大脑和骨骼肌中含量适中,睾丸中含量较低。

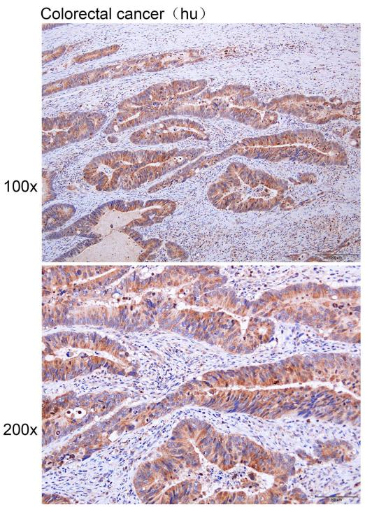
图4 K107625P-Immunohistochemistry验证
生物学功能
CASP3参与负责凋亡执行的caspase的激活级联,是凋亡相关蛋白水解的主要下游介质,是凋亡途径中的关键酶。CASP3是参与淀粉样β4A前体蛋白裂解的主要半胱天冬酶,与阿尔茨海默病中的神经元死亡有关。CASP3的改变与人类各种肿瘤相关,在肿瘤发生和癌症进展中起着重要作用,可通过形成血管生成的微环境来促进肿瘤生长。此外,CASP3可能还涉及B细胞激活、抗原提呈、免疫反应、趋化因子受体和炎症功能等。
第十三期产品星推荐就到这里啦!想要了解更多产品信息,请关注微信公众号:Solarbio索莱宝和索莱宝官方网站!
相关产品
产品货号 |
产品名称 |
Anti-CASP3 Polyclonal Antibody |
|
Anti-CASP3 Polyclonal Antibody |
|
Anti-CASP3 Monoclonal Antibody |
|
Human CASP3 ELISA Kit |
|
Mouse CASP3 ELISA Kit |
|
北京索莱宝科技有限公司 商家主页地 址: 北京市北京经济技术开发区环科中路16号26幢3层301 联系人: 索莱宝-龚思雨 电 话: 010-50973130 传 真: Email:3193328036@qq.com 相关咨询花香蝶自来 | Solarbio小分子化合物“优秀员工展”第二十一期 (2025-10-27T00:00 浏览数:2393) 新品早知道|碱性蛋白Native PAGE凝胶制备及电泳试剂盒 (2025-10-27T00:00 浏览数:2566) 新品速递——QuEChERS前处理系列产品 (2025-10-27T00:00 浏览数:2290) 生命的酸动力:苹果酸代谢如何塑造我们的能量世界 (2025-10-27T00:00 浏览数:2368) 群贤毕至,共启华章|索莱宝精彩亮相2025全国植物生物学大会 (2025-10-21T00:00 浏览数:10970) 相逢赣鄱,论道生化|索莱宝诚邀您出席中国生物化学与分子生物学会 2025 年全国学术会议 (2025-10-21T00:00 浏览数:13784) 【温馨提示】国庆中秋放假通知 (2025-09-30T00:00 浏览数:20466) 新品早知道|新型钙盐染色液-四环素荧光法! (2025-09-30T00:00 浏览数:13680) 跨越沙海,携手科研|索莱宝 ARAB LAB 2025 圆满收官 (2025-09-30T00:00 浏览数:23030) 探形识色,逐像入微|索莱宝第六届“病理杯”创意美图征集活动开启啦! (2025-09-30T00:00 浏览数:17173) ADVERTISEMENT
|
